
电子支气管镜现已经成为呼吸系统疾病常规诊疗的重要手段,并已在上级医院临床得到广泛应用。
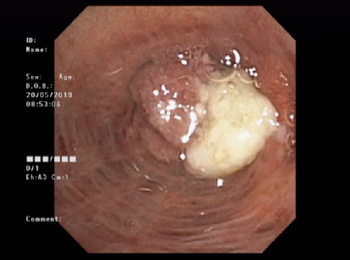
为进一步提高我院呼吸内镜技术服务水平。日前,医院引进了最先进的奥林巴斯OLYMPUS 高清电子支气管镜CV-170,并于5月20日成功为一名73岁患者完成了首例电子支气管镜检查。该患者在支气管镜检查中,通过钳夹还取得活检病理组织样本。
经内一科徐兆平医生介绍,电子支气管镜检查对气道和肺内病变诊断上非常重要。通过电子支气管镜可以更好地观察肺叶、段及亚段气道内病变部位及大小、肿瘤侵及部位等,可在内镜下取到明确的病理样本。对肺部感染、肺部肿瘤、不明原因咳嗽、肺结核、清除气道分泌物等方面能很好的起到辅助诊断和治疗作用。
截止目前,该科已成功开展了5 例电子支气管镜术。该项目的成功开展,填补了我院在呼吸疾病介入诊疗的技术空白,标志着该诊疗技术水平迈上了新的台阶,也极大方便满足了患者的医疗服务需求。


